忍者ブログ
当リンクについて
HappyHappyDiaryはリンクフリーです。 よろしければ下記のバナーをお使い下さい。
HN:
性別:
女性
*何かありましたら*
o_mizuking◎yahoo.co.jp
◎を@に変えて
上記の宛先までお願いします。
フリーエリア
最新コメント
[05/23 水]
[05/22 かっつ]
[05/17 水]
[05/17 ジン]
[05/16 水]
[05/15 彩依]
[05/10 水]
[05/09 Kayo☆]
[05/04 水]
[05/03 彩依]
リッくんプロフィール
script*KT*
レナプロフィール

カウントアップ
カウンター
現在の閲覧者数:
カウンター
ブログ内検索
アクセス解析
オットと2人の姉弟と4人暮らし。心地よい我が家を目指して只今インテリアや収納など試行錯誤中!もちろん子育ても奮闘中。そんな毎日をちょっとずつ のんびり気ままに綴っています。目指せステキ主婦!!
×

[PR]上記の広告は3ヶ月以上新規記事投稿のないブログに表示されています。新しい記事を書く事で広告が消えます。

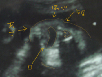
総合病院の2Dのエコーでも顔がはっきり(?)見えるようになりました(・∀・)ktkr

ちょうどエコーで見てたときにレナさんが
でっかいあくびをグァーーっとして
目をこすっていた所が見れた(^ω^)
超激カワ!!っと一人でテンション↑↑状態でした
もちろん心の中で
(*画像はちょうど先生がその瞬間を撮影してくれた時のもの(^ω^)センセーありが㌧GJです)

和泉さんがレナちゃんもお腹の中で生活してるんだねって言ってた!ホントそうだよね!
当たり前のことなんだけど、私じゃない別の生物が私の中にいるんだよ!なんだか不思議。。。

ビデオが撮れないのが本当に残念ww この感覚を相方に感じさせられないことも残念!
私一人でレナ楽しんじゃって、悪いなァ(^ω^)
こんなとき女でよかったーってホント思うよ。

それから、この日入院のアンケートをもらいました(・∀・)
もうすぐなんだなぁっと改めて実感!

PR

昨日28W(8ヶ月目)に無事突入したので、妊婦検診にいってきました。

すっかり大きくなっていて、エコーの写真も顔だけとか、足だけとか完全に部分撮影になっていました。

現在レナの体重は1200グラムだそうです。ずいぶん大きくなったなぁと感動と同時に

(弟が7ヶ月後半、今のレナくらいの大きさで生まれてしまったけど、ちゃんと大きく成長したので)

もし何かあってもなんとか大丈夫だろうと安堵してます。一時は切迫流産早産の疑いが出てどうなるかと心配したのでね(;´ー`)フー

今いってる病院の受け入れは32週からなのでここでは産めないけどwwもちろんまだまだ心配なことも多々ありますが、一応ね安心。

ちなみに普通は、32W(9ヶ月)が一つの目安だそうで、ここを越えると赤ちゃんは自分の力でも生きていけるそうなので(2500グラム越えるまでは保育器だけど)来月を無事迎えられることを目指してまた頑張ります(^ω^)ノ

 

ところで、26W(7ヶ月中旬)に入ってから、胎動が以前より強くなってきたのと同時に、動悸がするようになってきましたwww本には40%くらい血液量が増えるからって書いてあったんだけど、みんなそうなのかなぁ。ホント時々なんだけど結構苦しい(;´Д`)ハァハァ www

決めた!出産の方法を【ソフロロジー】にしようと思います。

ラマーズ法とかリーブ法とかいろいろな分娩法があるんだけど、一番ソフロロジーが私にあっているような気がするのでこれでいこうと思います。(32週を越えたらラマーズ法の教室にも行くけどね。)

【ソフロロジー】ていうのは、陣痛の痛みを素直に受け入れて、赤ちゃんの様子をイメージしながら、リラックスして 赤ちゃんと一緒にお産を乗り越えることを目指す分娩法。

静かなクラッシクや波の音を聞きながら、出産や産後などのイメージトレーニングをたくさんつんで、お産にリラックスして臨めるようにするんだって。(自己暗示・催眠状態を目指します)その為に、毎日音楽をかけてイメージトレーニングをはじめました。ゆっくりと深く吐くっていう呼吸法も私向き。そしてソフロロジーの基本の姿勢があぐらなので、陣痛はあぐらで過ごして(産道が開きやすく、重力で赤ちゃんも降りてきやすいらしい)、分娩台は座産スタイルで産もうと思っています。赤ちゃんも自分で見ながら迎えられそうだしね。

まぁ実際お産がはじまったら、どうなるか分からないけど、できるだけイメージトレーニングと呼吸法で眠りに入る前の状態【ソフロリミナル】の状態でいられるように、今からトレーニング頑張ります。 想像 もとい妄想と複式呼吸は、わりと得意な方だ(´∀`)

なんだかお産が近づいてきた感じ。(いや、実際産むのは4月なんだけどね)

でもそろそろ出産準備もはじめた方がいいよとも言われたので、体調のいい日に散歩がてらに行って来ようと思います(^ω^)ノ

*画像は、20W6Dのもの。耳をはっきり確認。こっちの音も聞こえてるんだね!

産むのは、総合病院だけど、総合病院のエコーだとよくレナが分からないので、保険きかないけど、最初行ってた個人院に、レナの写真とビデオを撮りに行っています。なので性別もだいたい分かったよ(゚∀゚)うしし

基本的に コレクター気質なので、結構頻繁に個人院に行ってます。だって今しかお腹の中撮れないもんね。なので今はレナ収集家ヽ(゚∀゚)ハ(゚∀゚)ノ

参加していた人から声をかけられました。

検診の待合所で、多数のエコー写真を拡大コピーしたファイルを

パラパラ眺めながら、ガリガリ何か書いている姿が

(異様で)印象的だったらしく、

母親教室が終わった後に話しかけられました。(この間の授業の略案を書いていた)

そこから、他の年代が近い産婦さん達と共に1時間ほど情報交換をして盛り上がってきました。

ひょんなことから、話題が不妊治療になって、

4人で話していたのですが、4人が全員見事に不妊治療をしていて吃驚しました!

まさか自分が子どもをもてるとは思わなかったとか、

3年でできたとか、4年でできたとか、早いほうだよねとか、

あきらめた頃にできたなどなど 

私が思っていたことと同じ事を経験したり思ってたりしている人達でした。

 

ふと、不妊治療をしていたとき帰りの受付で泣いていた自分を思い出したよ。

自分だけじゃなかったんだなぁ・・・って。

 

この母親教室は初期の妊婦さん向けの講座だったので、

週数が私の方が2ヶ月くらい早いので

次はいつ会えるかわからないのですが、

また会えたらいいなぁって思います。

初めての母親教室いろいろ楽しかったです。

 

*画像は20W3Dの時のもの。退院するときの診察で撮ってもらったもの。 こっちに向かって、“元気だよ”ってレナがピースしてる見たいで思わず笑顔になった一品(^ω^)

先日母親教室に行って来ました。

そろそろ、“お産の準備をした方がいいね。”と看護士さんに勧められ、

妊娠6ヶ月半ばを越え初めて行ってきました。

 

いろいろ為になる講座で、中でも1番は

実際の出産のビデオ鑑賞でした。

実際に人が分娩しているところは見たことないので衝撃的でした。

産婦さん(初産婦さん)は、元 ここの病院の助産師さんでお産のプロだったんだけど、

やっぱりもの凄い苦しそうでしたww途中見ていられなくなりそうでしたww

でもまわりの助産師さんに励まされて、痛みを乗り越えて

赤ちゃんが生まれ出てきたときは、凄い感動で

ビデオを見ながら号泣してしまいました。(自分も一緒にレナを産んだ気になりました)

会いたかったよって、赤ちゃんをなでている

お母さんがとっても印象的でまた涙

私ももうすぐだなぁって実感しました。

この病院で撮った映像だったので、自分のときと重ねて見ることができてとってもよかったです。

命が生まれるってスゴイね。

 

入院前に通っていた、産婦人科で産もうか迷っていたけど、

まだ腎結石も治ってないし、切迫もあったりで

やっぱり、こっちの総合病院で産むことに決めました。

小児科もあるからもしものとき、安心だしね。

お医者さんも4人いるんだけど全員顔見知りでお世話になってるし、

助産師さん看護師さんもみんなすっごい暖かいんだよ!

安心して出産に臨めそうです(^^*)

<< 次のページ   前のページ >>
[106] [107] [108] [109] [110] [111] [112] [113] [114]
phot by Anghel * icon by ひまわりの小部屋
designed by Himawari-you忍者ブログ [PR]